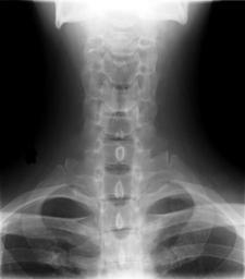
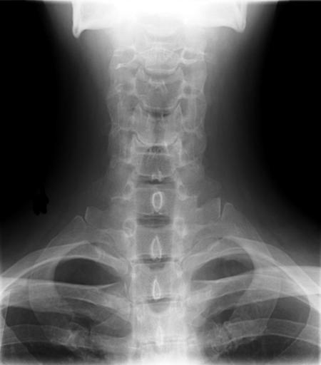
MAKE A MEME View Large Image Cervical Xray Lower AP View.jpg en X-ray of cervical spine neck AP front view This series of x-rays were part of pre-surgical evaluation to help identify spinal instability Patient is a 37 year old male with a history of multiple neck ...
View Original:Cervical Xray Lower AP View.jpg (1349x1534)
Download: Original    Medium    Small Thumb
Courtesy of:commons.wikimedia.org More Like This
Keywords: Cervical Xray Lower AP View.jpg en X-ray of cervical spine neck AP front view This series of x-rays were part of pre-surgical evaluation to help identify spinal instability Patient is a 37 year old male with a history of multiple neck traumas with pain and muscle spasms and dental implant in lower jaw Excerpt from radiologist's report FINDINGS Five views of the cervical spine including flexion and extension were performed There is no evidence of fracture bone destruction or malalignment There are degenerative bone and is changes at C5-6 There is no evidence of cervical instability on the flexion and extension views The facet joints are well aligned Bony spurring is narrowing the C5-6 neural foramina bilaterally IMPRESSION Degenerative changes at C5-6 No evidence of instability Ragioagraphie aux raysons X du rachis cervical cou AP vue avant Cette série de radiographies faisaient partie de l'évaluation pré-chirurgicale pour aider à identifier une instabilité vertébrale Le patient est un homme de 37 ans ayant des antécédents de traumatismes multiples cou avec des spasmes et des douleurs musculaires et implant dentaire à la mâchoire inférieure Extrait du rapport du radiologiste RÉSULTATS Cinq vues de la partie cervicale de la colonne vertébrale ont été faites dont en flexion et en extension Il n'y a pas de signe de fracture de destruction osseuse ni de défaut d'alignement On observe un phénomène de gégénérescence osseuse des changements en C5-6 Il n'existe aucune preuve de l'instabilité du cou sur les radios montrant la flexion et l'extension Les facettes articulaires sont bien alignés Bony spurring is narrowing the C5-6 neural foramina bilaterally IMPRESSION Changements dégénératifs eu C5-6 Aucune preuve d'instabilité own medical image work for hire Stillwaterising 2010-04 File Cervical Xray Extension jpg File Cervical Xray Extension view jpg File Cervical Xray Lateral View jpg Magnification 0 4x converted from lossy DICOM file Cc-zero Anteroposterior X-rays of the neck Dicom Human anatomy cervical vertebrae
Terms of Use   Search of the Day