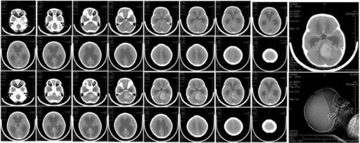
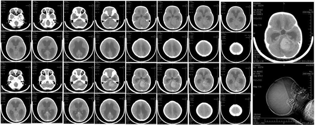
MAKE A MEME View Large Image CT brain scan of child with medulloblastoma and resulting hydrocephalus.jpg Six-year-old girl with medulloblastoma Medulloblastoma Neuroradiology
View Original:CT brain scan of child with medulloblastoma and resulting hydrocephalus.jpg (5290x2105)
Download: Original    Medium    Small Thumb
Courtesy of:commons.wikimedia.org More Like This
Keywords: CT brain scan of child with medulloblastoma and resulting hydrocephalus.jpg Six-year-old girl with medulloblastoma Medulloblastoma Neuroradiology
Terms of Use   Search of the Day